Фото: |
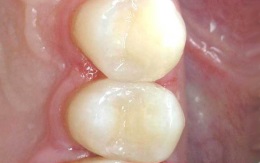
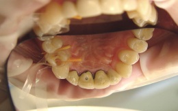
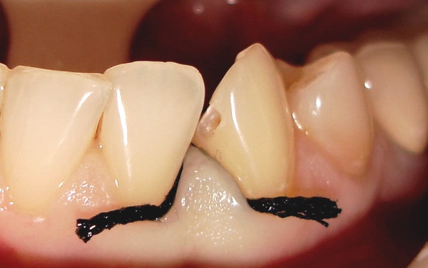
Матрицы металлические секционные. Клинические случаи. |
| перед реставрацией | ||
| после проведения реставрации |
Варианты работы с одним фиксирующим кольцом. |
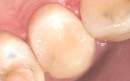
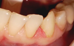
Случай 2. |
| перед реставрацией | ||
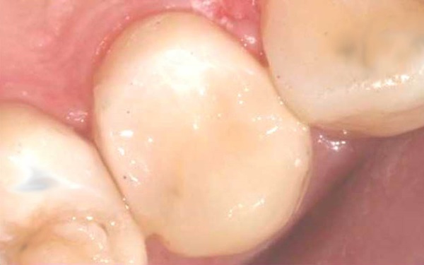
| после проведения реставрации |
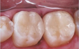
Варианты работы с двумя фиксирующими кольцами. |
Варианты работы с тремя фиксирующими кольцами. |
Варианты использования вместе с матрицами с замковым фиксирующим устройством. |
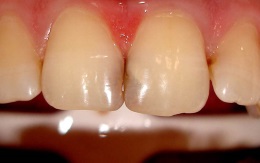
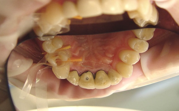
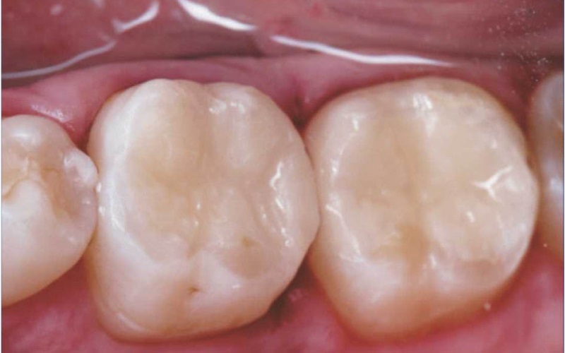
Матрицы металлические плоские и контурные с замковым фиксирующим устройством. Клинические случаи. |
| перед реставрацией | ||
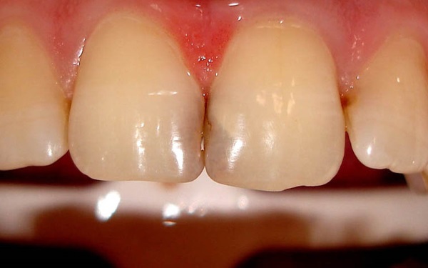
| после проведения реставрации |
Варианты установки с матрицедержателями пружинными - фиксаторами: |
Варианты установки с матрицедержателями пружинными - кольцами: |
Варианты использования вместе с секционными матрицами: |
Матрицы металлические контурные. Клинические случаи. |
Клинья фиксирующие. Клинические случаи. |
Матрицы контурные лавсановые. Клинические случаи. |
| перед реставрацией | ||
| после проведения реставрации |
Случай 2. |
| перед реставрацией | ||
| после проведения реставрации |
Варианты установки матриц. |
Матрицы контурные лавсановые с фиксирующим клеящим слоем (самоклеящиеся). Клинические случаи. |
Матричная система для формирования пришеечных пломб. Клинические случаи. |
Матрицы контурные лавсановые (секционные). Клинические случаи. |
| перед реставрацией | ||
| после проведения реставрации |
Случай 2. |
| перед реставрацией | ||
| после проведения реставрации |
Варианты установки матриц. |
Матрицы контурные лавсановые закрытые (колпачки). Клинические случаи. |


























































