Матрицы контурные лавсановые закрытые (колпачки): |
| Выпускаются матрицы контурные лавсановые закрытые (колпачки) для коронковой (№ 1.901) и фронтальной (№ 1.903) поверхности резцов, аппроксимальной поверхности резцов и клыков (№№ 1.905, 1.907), для коронковой части резцов, клыков и премоляров (№ 1.909) и для моляров и премоляров (№ 1.908). |
| В наборах (№ 1.910) и (№ 1.911) представлены 14 типов матриц-колпачков соответственно для фронтальных зубов и для моляров и премоляров. |
| В наборе № 1.912 представлены 16 типов матриц-колпачков для детских зубов. |
| В наборе (№ 1.915) представлены 8 типов конических матриц-колпачков для всех типов зубов. |
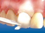
Работа с матрицами-колпачками: |
| 1. прокалывают колпачок зондом. | |
| 2. наполняют колпачок пломбировочным материалом. | |
| 3. помещают колпачок на поврежденный зуб. | |
| 4. удаляют излишки пломбировочного материала и проводят светоотверждение. |
Клинические случаи: |













