Порядок работы:

Диски шлифовальные

Матрицы металлические секционные

Матрицы для передних зубов

Матрицы металлические с замковым фиксирующим устройством

Матрицы металлические контурные "Пони"

Матрицы металлические контурные

Матрицы металлические контурные с фиксирующим устройством

Матрицы кольцевые

Фиксаторы кольцевые "Эластик"

Система для удаления материала из межзубного промежутка. Работа с держателем № 1.369

Система для удаления материала из межзубного промежутка. Работа с держателем № 1.389

Матрицы контурные лавсановые с фиксирующим устройством

Матрицы контурные лавсановые с фиксирующим клеящим слоем

Матрицы лавсановые сепарационные для формирования пришеечных пломб

Матрицы контурные лавсановые закрытые "колпачки"

Держатели полосок

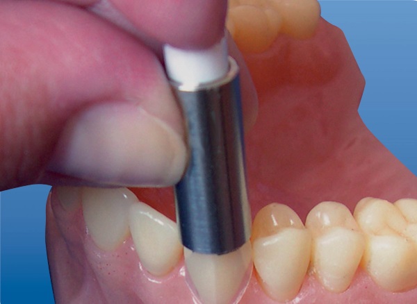
Диски шлифовальные

Порядок работы

1. Вскрыть упаковку.
2. Удостовериться в отсутствии на поверхности изделия (диска и дискодержателя) трещин, царапин, заусенцев, отслаивания покрытия (диски), следов ржавчины (дискодержатели) или загрязнений.
3. Провести дезинфекцию, предстерилизационную очистку и стерилизацию в соответствие с вышеприведенными режимами.
4. Использовать непосредственно после стерилизации.
5. Надеть диск на дискодержатель до его устойчивого закрепления (диск не должен колебаться).
6. Провести шлифование однонаправленно – от десны в сторону установленной пломбы. Движения вперед и назад за пределы эмалевого края пломбы не рекомендуются. При шлифовании прилагайте небольшое усилие, давая возможность диску выполнять свою работу.
7. При шлифовании сохраняйте поверхности пломбы и диска сухими.
8. Между сменой дисков рекомендуется промывать реставрацию водой для удаления частиц абразива.

Меры предосторожности

1. Не использовать диски и дискодержатели на скоростях вращения более 30000 об/мин. Диски самой большой абразивности (для снятия излишков материала) применять на скоростях не более 10000 об/мин, менее абразивные - не более 30000 об/мин.
2. В избежание перегрева твердых тканей зуба при полировании рекомендуется охлаждать зуб воздухом.

Не использовать изделия при обнаружении:
- следов ржавчины на дискодержателе,
- повреждений поверхности дискодержателя,
- неровностей кромки, повреждения абразивного покрытия или втулки диска.

Матрицы металлические секционные

Установка с кольцом № 1.099

Установите матрицу и клин фиксирующий
Щипцами N 1.099-1 (or 1.099-2, 1.099-3) разведите кольцо N 1.099, избегая чрезмерного разведения ножек кольца.
Установите кольцо на матрицу и проведите реставрацию.

Варианты установки колец N 1.099

Кольцо за клином - реставрация больших полостей.
Кольцо перед клином - реставрация небольших полостей.
Установка 2-х колец с различной высотой ножек при реставрации 2-х контактных полостей зуба.

Установка с фиксатором N 1.009

Установите матрицу, клин и фиксатор.
Фиксатор N 1.009 сочетает функции кольца N 1.099 и щипцов NN 1.099-1, 1.099-2, 1.099-3). Сила прижатия матрицы к стенкам зуба при установке фиксатором меньше, чем при использовании пары "щипцы-кольцо".

Матрицы для передних зубов

Порядок работы

Рекомендации по работе с полосками контурными при восстановлении фронтальных зубов:

1. Ввести полоску в вертикальном положении.
2. Надавить на ручку, как на рычаг, прижимая контурную рабочую часть к соседнему зубу.

Работа с матрицами двойными

Матрицы металлические с замковым фиксирующим устройством

Для обеспечения плотного контакта необходимо выбрать матрицу правильной длины.
неправильно правильно неправильно
Обращаем Ваше внимание, что ножки кольца и фиксатора для установки секицонных матриц больше диаметра трубочек на краях замковых матриц, по этой причине кольцо № 1.099 и фиксатор № 1.009 не подходят для установки замковых матриц.
ножки
кольца № 1.033
ножки
кольца № 1.099

Установка с фиксатором № 1.003

Выберите матрицу нужной длины и вне полости рта пациента вставьте ножки фиксатора в трубочки на краях матрицы.
Установите систему на реставрируемый зуб.
Система в рабочем состоянии на мезиальной поверхности.

Установка с кольцом № 1.033

Выберите матрицу нужной длины, вставьте ножки кольца в труюочеи на краях матрицы (для удобства можно предварительно развести ножки кольца щипцами № 1.099-1).
Установите систему на реставрируемый зуб с помощью щипцов № 1.099-1.
Система в рабочем состоянии на дистальной поверхности.
Система в рабочем состоянии на мезиальной поверхности.

Матрицы металлические контурные "Пони"

Установка с фиксатором Слот № 1.004

Вставьте матрицу в щели ножек фиксатора Слот.
Отрегулируйте длину петли матрицы таким образом, чтобы матрица охватывала около 3/4 длины реставрируемого зуба, и установите систему на реставрируемый зуб.
Система в рабочем состоянии. Возможна также установка на дистальную поверхность.

Установка с кольцом Слот № 1.044

Разведите ножки кольца Слот № 1.044 с помощью щипцов №1.099-1 и вставьте матрицу в щели ножек кольца.
С помощью щипцов установите ситсему на реставрируемый зуб.
Система в рабочем состоянии. Возможна также установка на мезиальную поверхность.

При работе необходимо следить, чтобы край матрицы, обращенный к десне, не выступал из щели кольца (фиксатора).

Матрицы металлические контурные

УСТАНОВКА С ПОМОЩЬЮ МАТРИЦЕДЕРЖАТЕЛЯ ТИПА ТОФФЛЬМАЙРА

(матрицы контурные лавсановые устанавливаются аналогично)
1. Вращением винта 1 освобождают щель 3 и вставляют матрицу
а) в щели 4 и 3 (петля матрицы направлена вдоль оси матрицедержателя),
б) в щели 5 и 3 (петля матрицы направлена перпендикулярно оси матрицедержателя).
2. Вращением винта 1 фиксируют матрицу в матрицедержателе.
3. Вращением винта 2 осуществляют фиксацию матрицы вокруг зуба.

Матрицы металлические контурные с фиксирующим устройством

Порядок работы

1. Установите матрицу на реставрируемый зуб и сожмите алюминиевое кольцо (фиксирующее устройство).
2. Система в рабочем состоянии.
Реставрация двух контактных пунктов с использованием матрицы металлической контурной с фиксирующим устройством, клиньев фиксирующих и кольца № 1.099.

Матрицы кольцевые

Порядок работы

Конструкция обеспечивает простоту регулировки длины петли матрицы.
Устанавливаются без матрицедержателя.
Могут использоваться для защиты соседнего зуба при препарировании.
.
1. Отрегулировать длину петли матрицы по размеру зуба.
2. Установить матрицу на зуб и подтянуть конец матрицы до полного обжатия зуба.

Фиксаторы кольцевые "Эластик"

Порядок работы

1. Вне полости рта вставляют ножки щипцов в отверстия в фиксаторе "Эластик".
2. Растягивают фиксатор, разводя ножки щипцов, и устанавливают в межзубный промежуток.
3. Система в рабочем состоянии.

Система для удаления материала из межзубного промежутка. Работа с держателем № 1.369.

Порядок работы

Вращая винт 1, сдвигают ножки держателя так, чтобы расстояние между внешними краями ножек было равно длине полоски № 1.384 (или № 1.385). Вставляют полоску в зажимы 2 на ножках держателя и затягивают зажимы ключом 3.
Вращая винт 1, натягивают полоску. Плотно вставляют штырь 4 держателя в ручку-держатель № 1.107 или одно из отверстий ручки-держателя № 1.109.
Варианты фиксации держателя в ручке № 1.107.
Вставить держатель в гнездо 1 ручки №1.107 и зафиксировать, затянув верхнюю гайку 2 с помощью ключа. Вращая верхнюю рельефную часть 3 ручки, разблокировать соединение, выбрать нужный угол и зафиксировать положение вращением рельефной части 3 ручки.
Варианты фиксации держателя в ручке № 1.109.
3 отверстия в ручке-держателе № 1.109 позволяют фиксировать штырь держателя в любом из трех положений: вдоль оси ручки, перпендикулярно (±90 градусов) и под углом ±45 градусов к оси ручки

Возможна работа без присоединения держателя к ручке - роль ручки может выполнять штырь 4, для работы можно также фиксировать штырь 4 в наконечнике типа EVA, позволяющем создавать возвратно-поступательное движение.

Система для удаления материала из межзубного промежутка. Работа с держателем № 1.389.

Порядок работы

Вставляют выступ на ножке 1 держателя в отверстия на полоске 4 (№ 1.384 или № 1.385) и загибают полоску 4 вокруг ножки 1 держателя.
Огибают полоску 4 вокруг ножки 2, вставляют выступ на ножке 2 держателя в другое отверстие полоски 4 и натягивают полоску 4 между ножками 1 и 2, вращая ручку 3 держателя с резьбой.
Удаляют излишки материала.

Матрицы контурные лавсановые с фиксирующим устройством

Порядок работы

1. Установите матрицу на реставрируемый зуб.
2. Зафиксируйте матрицу, сжав алюминиевое кольцо (фиксирующее устройство).
3. Система в рабочем состоянии.

Матрицы контурные лавсановые с фиксирующим клеящим слоем

Порядок работы

Установите матрицу на реставрируемый зуб.
Зондом удалите красный защитный слой по краям матрицы.
Соедините участки матрицы, покрытые клеевым слоем.

Матрицы лавсановые сепарационные для формирования пришеечных пломб

Порядок работы

1. Матрицу осторожно (не перегибая) сверните и вставьте в матрицедержатель.
2. Отрегулируйте длину выступающей части матрицы таким образом, чтобы кривизна матрицы примерно соответствовала кривизне реставрируемой части зуба, и обрежьте углы матрицы для полного соответствия форме зуба.
3. Зафиксируйте матрицу в матрицедержателе с помощью фиксатора.
4. Проведите реставрацию зуба, удерживая одной рукой матрицедержатель с матрицей.

Матрицы контурные лавсановые закрытые "колпачки"

Порядок работы

1. Проколите колпачок зондом.
2. Наполните колпачок пломбировочным материалом.
3. Поместите колпачок на реставрируемый зуб.
4. Удалите излишки пломбировочного материала и проведите светоотверждение.

Держатели полосок

Порядок работы

Фиксация полоски металлической в держателях №№ 1.105 & 1.106, 1.106B.
Схема A
Фиксация полоски лавсановой в держателях №№ 1.105, 1.106, 1.106B.
Схема B

Работа с держателем продольным № 1.105

Подберите нужное расстояние между ножками держателя, вращая бегунок с резьбой с помощью ключа, вставьте полоску в щели ножек держателя:
металлические полоски - согласно схеме A (см. выше),
пластиковые полоски - согласно схеме B (см. выше).
Зафиксируйте полоску, закрутив бегунок с резьбой ключом.

Работа с держателем поперечным № 1.106

Сожмите держатель, как показано на рисунке, вставьте полоску в щели ножек держателя:
металлические полоски - согласно схеме A (см. выше),
пластиковые полоски - согласно схеме B (см. выше).
Система в рабочем состоянии.

 

 

 

 

 

 

 

 

 

В начало страницы

 

OOO «ТОР ВМ»   www.torvm.ru